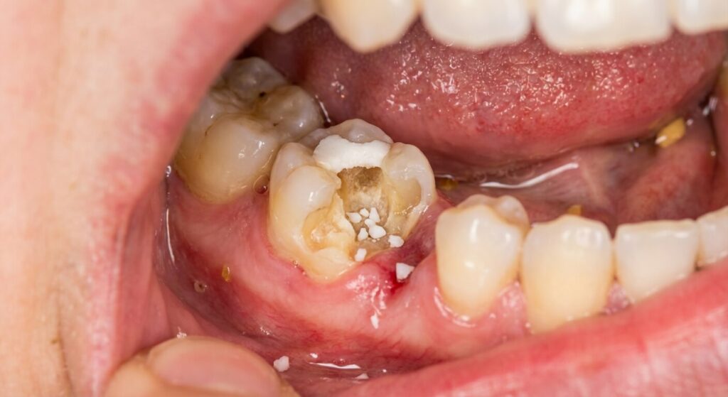
Dent molaire dont le pansement provisoire blanc s'est effrité et est tombé lors de la mastication

Un pansement dentaire tombé : Est-ce grave et comment réagir ?

Croquer dans un caramel collant, savourer un morceau de pain croustillant ou brosser ses dents un peu trop vigoureusement : les occasions de compromettre des soins en cours sont nombreuses. Soudain, un petit morceau de pâte crayeuse se détache en bouche. La langue se porte immédiatement vers la molaire en traitement, découvrant un cratère béant et rugueux. Constater qu’un pansement dentaire tombé est ce grave devient instantanément la question obsédante du patient. L’angoisse d’une rage de dents nocturne ou d’une infection fulgurante pousse souvent à chercher une consultation en urgence absolue.

L’obturation provisoire est un matériau strictement transitoire en odontologie. De par sa nature chimique, elle est spécifiquement conçue pour être retirée facilement par le praticien lors du rendez-vous suivant. Sa friabilité relative est donc intentionnelle, rendant sa chute partielle ou totale assez banale dans le parcours de soin. Si cet événement génère un inconfort manifeste et exige une vigilance accrue en matière d’hygiène buccale, il constitue rarement une menace vitale immédiate pour la dent. La véritable gravité de la situation dépend quasi exclusivement du stade d’avancement du soin et de la vitalité de la racine sous-jacente.

Ce qu’il faut retenir

  • 🚫 Pas de panique : La perte d’un ciment provisoire est un incident très courant. Sauf douleur pulsatile aiguë, cela ne nécessite pas un passage aux urgences de l’hôpital.
  • 🧹 Hygiène stricte : La priorité est de maintenir la cavité ouverte parfaitement exempte de nourriture en brossant doucement la zone après chaque repas.
  • 🦷 Mastication unilatérale : Modifiez vos habitudes immédiatement et mastiquez exclusivement du côté opposé pour éviter de fracturer les parois de la dent fragilisée.
  • 📞 Reprogrammation rapide : Contactez le secrétariat de votre dentiste pour avancer le rendez-vous. Laisser la dent ouverte trop longtemps expose les canaux aux bactéries.

Le rôle protecteur de l’obturation provisoire

Pour évaluer objectivement l’incident, il convient de rappeler la fonction de ce matériau (généralement à base d’oxyde de zinc, comme le Cavit ou l’Eugenate). Les soins endodontiques (dévitalisation) ou la taille d’une dent pour recevoir une couronne nécessitent plusieurs séances espacées de quelques jours.

Entre ces rendez-vous, la dent est évidée. Le pansement remplit des fonctions mécaniques et biologiques cruciales.

  • Il scelle hermétiquement l’accès aux canaux radiculaires, bloquant l’infiltration des milliards de bactéries présentes dans la salive.
  • Il empêche le tassement alimentaire au fond du trou, évitant ainsi la fermentation douloureuse des sucres sur la gencive.
  • Il consolide structurellement les parois d’émail restantes, devenues aussi fines qu’une coquille d’œuf suite au nettoyage de la carie.

Il faut noter que ces pâtes ont tendance à s’user naturellement en surface sous l’effet de la mastication. Bien souvent, la perte d’une fine pellicule supérieure est confondue avec la chute totale du pansement, alors que le fond de la cavité reste parfaitement isolé.

L’évaluation de la gravité selon la vitalité pulpaire

L’urgence générée par la perte du pansement est dictée par ce qui se cache au fond de la dent. Deux scénarios cliniques totalement opposés se dessinent.

Si le ciment recouvrait une dent vivante (lors du traitement en plusieurs étapes d’une carie très profonde), l’urgence est douloureuse. La pulpe dentaire (le nerf) est soumise aux agressions extérieures. Le moindre contact avec un flux d’air froid, une boisson glacée ou un aliment sucré va déclencher des décharges électriques violentes (hyperesthésie). Une surinfection de la pulpe est probable à très court terme.
Si le soin protégeait une dent dévitalisée (le nerf a été entièrement retiré et les canaux désinfectés), vous ne ressentirez aucune douleur thermique. Le risque est ici purement mécanique et infectieux. Les parois vides ne sont plus soutenues : croquer une simple graine risque de fendre la racine en deux, condamnant la dent à l’extraction. De plus, la salive va contaminer le travail de désinfection canalaire réalisé par le dentiste.

Patient en consultation d'urgence chez le dentiste pour replacer une obturation temporaire sur une prémolaire

Les gestes de premiers secours à domicile

Dans l’attente d’une consultation de contrôle, des mesures conservatoires permettent de stabiliser la situation, surtout si le désagrément survient à la veille d’un week-end ou lors d’un déplacement.

La première étape est le brossage méticuleux de la cavité avec une brosse à dents à poils très souples pour déloger la nourriture coincée. La réalisation d’un bain de bouche antiseptique (chlorhexidine) matin et soir permet d’assainir l’environnement local.
Si le rendez-vous est lointain (plus de 48 heures) ou que la sensibilité au froid est intolérable, les pharmacies vendent des kits de ciment dentaire provisoire en vente libre. Après avoir asséché la dent avec un coton-tige, l’application d’une petite noisette de ce ciment suffira. Au contact de l’humidité salivaire, la pâte durcira en une vingtaine de minutes, reformant un bouchon étanche qui soulagera immédiatement la sensibilité et sécurisera les parois ébréchées.

Tableau : Matrice de réaction face à la perte du ciment

État initial de la dentSymptômes ressentis par le patientDélai de consultation recommandé
Dent Dévitalisée (Nerf retiré)Aucune douleur, simple gêne rugueuse sous la langue.Semi-urgent : À replacer dans les 3 à 7 jours (Risque de fracture).
Dent Vivante (Carie profonde)Forte sensibilité au froid, au chaud et au sucre.Urgent : Appel au cabinet pour le lendemain (Risque de pulpite).
Gencive très enflée autourDouleur pulsatile continue, fièvre, abcès visible.Urgence médicale : Consultation immédiate (Antibiotiques requis).

L’avertissement du Chirurgien-Dentiste

« L’erreur fatale de certains patients est de ne pas nous prévenir quand le pansement tombe sur une dent dévitalisée, car ils n’ont pas mal. Ils attendent sagement leur rendez-vous de pose de couronne prévu un mois plus tard. C’est une catastrophe biologique. La salive infiltre les canaux fraîchement nettoyés. Lorsque je rouvre la dent, je suis contraint de refaire l’intégralité de la dévitalisation pour éviter un kyste sous-jacent. Dès que le bouchon saute, appelez le cabinet, nous vous intercalerons en cinq minutes pour remettre un peu de ciment. »

Sécuriser la pérennité du soin définitif

L’objectif ultime de votre plan de traitement n’est pas de multiplier les pansements de fortune, mais bien de sceller définitivement la dent. Laisser une cavité ouverte à l’environnement buccal pendant des semaines compromet gravement la force d’adhésion des futurs composites ou la pose de couronnes en céramique (inlay/onlay). Réagir promptement à la perte du ciment en réclamant sa remise en place garantit au dentiste un champ opératoire sain pour la séance finale. Cette réactivité est le bouclier indispensable pour sauver votre racine et préserver l’intégrité globale de votre capital masticatoire.


Foire Aux Questions (FAQ)

🍬 Le chewing-gum sans sucre peut-il servir de pansement d’urgence ?

C’est une rumeur très répandue, mais fermement déconseillée par le corps médical. Le chewing-gum adhère très mal aux parois humides de la dentine, n’offre aucune véritable étanchéité face aux bactéries et est extrêmement difficile à retirer proprement par le dentiste. Pire, s’il contient des édulcorants ou de traces de sucres, il nourrira les bactéries cariogènes présentes dans la cavité. En cas d’extrême urgence, la cire orthodontique (utilisée pour les bagues) est une meilleure alternative pour lisser les bords coupants.

🩸 Est-il normal que la gencive saigne là où le pansement est tombé ?

Oui, cela arrive fréquemment. Les bords de la dent sans son pansement sont souvent tranchants et irréguliers. En mastiquant ou en passant la langue, vous pouvez irriter la gencive (la papille interdentaire) qui s’enflamme et saigne au moindre contact. De plus, le tassement alimentaire entre les dents provoque une gingivite localisée. Un brossage très doux et l’utilisation de brossettes interdentaires permettront de stopper l’inflammation gingivale en quelques jours.

💰 Le dentiste va-t-il me facturer la remise en place du ciment ?

Si le pansement tombe peu de temps après la consultation initiale, dans le cadre d’un plan de traitement prothétique ou endodontique global déjà devisé, le praticien replacera l’obturation provisoire à titre gracieux. C’est le service après-vente normal du soin. En revanche, si la perte est due à un manque de précaution évident (ouverture d’emballages avec les dents, nougats) ou survient des mois plus tard car vous avez « séché » vos rendez-vous de finalisation, une consultation d’urgence pourra être facturée.

Laisser un commentaire

Votre adresse e-mail ne sera pas publiée. Les champs obligatoires sont indiqués avec *

Retour en haut