Découvrir le terme « stéatose pancréatique » au détour d’un compte-rendu de scanner ou d’échographie abdominale suscite invariablement l’inquiétude. Souvent qualifiée par les radiologues d’involution graisseuse du pancréas, cette anomalie anatomique traduit le remplacement progressif des cellules saines de la glande par des cellules adipeuses (de la graisse). Alors que la stéatose hépatique (la maladie du foie gras) est largement documentée et médiatisée, son homologue pancréatique demeure méconnue du grand public. Face à ce diagnostic fortuit, les patients s’interrogent légitimement sur le pronostic : ce processus est-il irréversible ou l’espoir d’une guérison est-il médicalement fondé ?
Le pancréas est un organe vital aux fonctions doubles, régulant la glycémie (sécrétion d’insuline) et la digestion (enzymes pancréatiques). Lorsque la graisse l’étouffe, ces deux mécaniques de précision s’enrayent, ouvrant la voie au diabète de type 2 et à l’insuffisance pancréatique exocrine. Longtemps considérée comme un simple signe de vieillissement naturel, l’infiltration adipeuse est aujourd’hui traitée comme une alarme métabolique majeure. Néanmoins, la plasticité de cet organe offre des perspectives encourageantes. Déterminer la réversibilité de cette pathologie nécessite de comprendre à quel stade la graisse cesse d’être une simple réserve pour devenir un agent destructeur fibro-inflammatoire.
Ce qu’il faut retenir
- 🔄 La réversibilité est possible : Au stade précoce, l’involution graisseuse n’est pas une fatalité. La fonte de la graisse viscérale permet aux cellules pancréatiques de retrouver leur fonction.
- ⚖️ Le rôle clé de la perte de poids : Une perte de 5 à 10 % de la masse corporelle totale suffit souvent à dégorger le pancréas et à faire reculer la maladie de manière spectaculaire.
- 🚫 L’interdiction de l’alcool : L’alcool, conjugué à l’excès de triglycérides, est le premier facteur aggravant menant à la pancréatite chronique. Son arrêt total est le premier pilier du traitement.
- 📉 Le point de non-retour : La guérison n’est plus possible si la graisse a provoqué une fibrose (remplacement de la glande par du tissu cicatriciel dur et inerte).
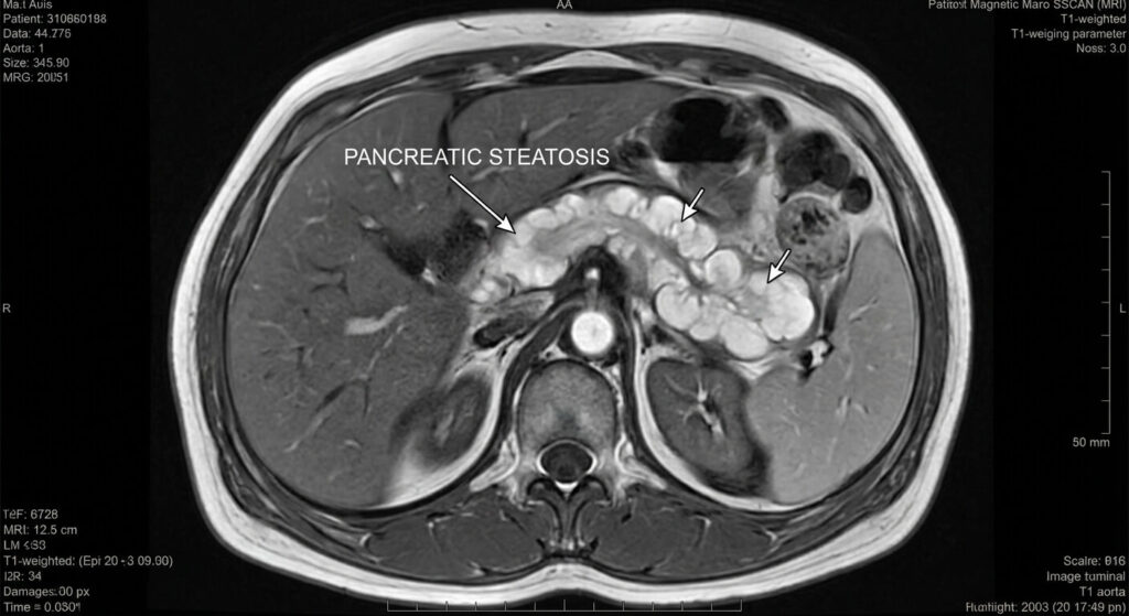
La stéatose pancréatique : Un remplacement tissulaire silencieux
L’involution graisseuse ne provoque initialement aucune douleur. Elle est le plus souvent asymptomatique et découverte par hasard lors de l’exploration d’un autre trouble digestif.
Le mécanisme est directement lié au syndrome métabolique (obésité centrale, hypertension, hypertriglycéridémie). Lorsque le foie est saturé de graisses (NASH), l’organisme cherche de nouvelles zones de stockage d’urgence. Le pancréas devient alors une « poubelle » à lipides. Les adipocytes (cellules graisseuses) s’infiltrent entre les îlots de Langerhans.
Cette graisse n’est pas inerte : elle est « toxique ». Elle sécrète des cytokines inflammatoires qui altèrent le fonctionnement des cellules bêta (produisant l’insuline). L’organe s’épuise, se gonfle, et le patient voit sa glycémie à jeun augmenter silencieusement, marquant les prémices du diabète.

Le mythe de la guérison vs La réalité de la réversibilité
En médecine, le terme de « guérison » suppose un retour définitif à l’état originel sans risque de rechute. Pour la stéatose pancréatique, les spécialistes préfèrent parler de réversibilité ou de rémission.
- Le stade réversible (Stéatose simple) : Si la graisse est simplement accumulée, elle peut être « brûlée ». Des études cliniques ont démontré que les patients ayant subi une chirurgie bariatrique (bypass) ou suivi un régime hypocalorique strict voient leur pancréas se vider de sa graisse en quelques mois, relançant parfaitement la sécrétion d’insuline. L’organe retrouve sa taille et sa densité normales.
- Le stade irréversible (Pancréatite chronique / Fibrose) : Si l’inflammation due à la graisse a duré des années, les cellules nobles du pancréas sont mortes (nécrose) et remplacées par de la fibrose (du tissu cicatriciel rigide). À ce stade, la graisse peut fondre, mais la cellule originelle ne repoussera jamais. L’insuffisance pancréatique est définitive et nécessite la prise de médicaments à vie (enzymes de substitution).
Tableau : Stades d’évolution et pronostic de récupération
| Stade d’évolution pancréatique | Conséquences biologiques (Symptômes) | Pronostic de réversibilité (Guérison) |
|---|---|---|
| Stéatose pure (Infiltration graisseuse) | Asymptomatique, léger pré-diabète. | Excellente. 100% réversible par le régime. |
| Stéato-pancréatite (Inflammation) | Douleurs abdominales hautes sourdes, diabète installé. | Possible mais lente, séquelles possibles. |
| Fibrose pancréatique avancée | Diarrhées graisseuses (Stéatorrhée), diabète insulino-requérant. | Irréversible. Traitement symptomatique à vie. |
La vision du Gastro-Entérologue
« Les patients se concentrent toujours sur leur taux de cholestérol sanguin, mais ignorent la toxicité des triglycérides stockés dans leurs organes. Quand je diagnostique un pancréas graisseux sur un scanner, je dis au patient : ‘Vous avez de la chance’. C’est le signal d’alarme ultime avant le diabète irréversible. L’organe n’est pas encore détruit, il est juste asphyxié. Le traitement n’est pas en pharmacie, il est dans le chariot de courses et dans les baskets. Si le patient perd 8 kilos et arrête les sucres industriels, son scanner de contrôle 6 mois plus tard montrera un pancréas nettoyé. C’est une pathologie dont on tient les rênes. »
L’hygiène métabolique comme traitement de fond
Puisqu’aucun médicament ne permet de « dégraisser » spécifiquement la glande pancréatique, l’ordonnance médicale se transforme en un protocole de restructuration du mode de vie. Le sevrage absolu des boissons alcoolisées (qui sont toxiques pour les acini pancréatiques) et du tabac est l’urgence première. Ensuite, l’adoption d’un régime de type méditerranéen, pauvre en glucides raffinés et riche en graisses insaturées (huile d’olive, oméga-3), permet de faire chuter le taux de triglycérides circulants. L’intégration d’un jeûne intermittent (16/8) s’avère également être un levier thérapeutique puissant : en abaissant drastiquement le niveau d’insuline sanguin, il force le corps à puiser dans ses graisses viscérales profondes, libérant ainsi le foie et le pancréas de leur gangue adipeuse pour restaurer durablement leur vitalité.
Foire Aux Questions (FAQ)
💊 Faut-il prendre des enzymes digestives (Créon) si le pancréas est graisseux ?
Pas nécessairement. L’infiltration de graisse ne signifie pas automatiquement que le pancréas a cessé de produire ses sucs digestifs. La prescription d’enzymes pancréatiques (comme l’Eurobiol ou le Créon) n’est justifiée que si la maladie a évolué vers une Insuffisance Pancréatique Exocrine (IPE). Cette insuffisance se diagnostique par l’apparition d’un amaigrissement inexpliqué, de carences en vitamines, et de selles très claires, malodorantes et flottantes (stéatorrhée), signe que les graisses ne sont plus du tout digérées.
🩸 Un bilan sanguin normal garantit-il l’absence de graisse dans le pancréas ?
Non, la biologie est trompeuse à ce stade. Vos dosages sanguins classiques (lipase, amylase, glycémie) peuvent être strictement dans les normes de laboratoire, alors que votre pancréas est déjà gorgé de graisse à 30 %. Le pancréas possède une grande « réserve fonctionnelle » et compense la destruction de ses cellules pendant très longtemps. C’est pourquoi seule l’imagerie médicale (échographie, scanner ou IRM abdominale) permet de poser le diagnostic d’involution graisseuse de manière visuelle et certaine.
🧬 Est-ce que la stéatose pancréatique augmente le risque de cancer ?
La question fait actuellement l’objet de nombreuses études scientifiques. S’il est cliniquement prouvé que l’inflammation chronique (pancréatite chronique) multiplie considérablement le risque d’adénocarcinome pancréatique, le lien direct entre la simple infiltration graisseuse et le cancer est plus nuancé. Toutefois, le tissu adipeux sécrétant des facteurs inflammatoires permanents (adipokines) dans un microenvironnement confiné, la communauté médicale considère aujourd’hui la stéatose pancréatique sévère comme un terrain favorisant le développement potentiel de lésions précancéreuses sur le long terme.









