Ouvrir l’enveloppe contenant les résultats d’une Imagerie par Résonance Magnétique (IRM) cérébrale ou médullaire est un moment chargé d’appréhension. Le vocabulaire employé par les radiologues, froid et technique, génère souvent une panique immédiate chez le patient qui tente de le déchiffrer avant sa consultation avec le spécialiste. Parmi les termes les plus redoutés, la mention d’un hypersignal T2 inflammatoire figure en tête de liste. Dénué de contexte, ce diagnostic radiologique est perçu comme l’annonce imminente d’une maladie neurologique dégénérative incurable.
L’Imagerie par Résonance Magnétique n’est pourtant qu’un outil de cartographie tissulaire. Contrairement à un scanner qui utilise des rayons X pour visualiser les os, l’IRM s’appuie sur un champ magnétique puissant pour analyser le comportement des molécules d’eau dans notre corps. Lire « hypersignal T2 » ne signifie pas que votre cerveau est détruit, cela indique simplement à l’ordinateur qu’une zone anatomique précise retient plus d’eau que son environnement direct. Explorer la physique de cette séquence radiologique et les pathologies associées à la présence d’inflammation permet de dédramatiser la lecture de ce compte-rendu et d’en comprendre les véritables enjeux cliniques.
Ce qu’il faut retenir
- 💡 La définition physique : En IRM, une « séquence T2 » affiche les liquides (l’eau, le sang, l’œdème) sous forme de taches brillantes et blanches, appelées « hypersignaux ».
- 🔥 Le lien avec l’inflammation : Toute inflammation dans le corps génère un œdème (un afflux de liquide). L’hypersignal détecte donc l’eau liée à cet état inflammatoire.
- 🧠 Le ciblage de la myéline : En neurologie, ces signaux apparaissent souvent dans la substance blanche (démyélinisation), caractéristique d’une souffrance des gaines nerveuses.
- ⚖️ L’absence de diagnostic direct : Une tache blanche sur l’IRM n’est pas une maladie. Seul le neurologue, en recoupant vos symptômes physiques avec l’image, posera un diagnostic.
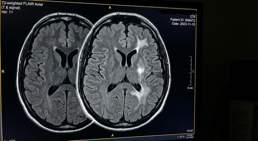
Qu’est-ce qu’une séquence T2 en résonance magnétique ?
Pour démystifier votre compte-rendu, il faut comprendre le langage de la machine. L’IRM réalise plusieurs séries de clichés (les séquences) qui réagissent différemment aux tissus. Les deux plus connues sont le T1 et le T2.
Dans une pondération T1, la graisse apparaît en blanc et l’eau apparaît en noir. Cette séquence est excellente pour voir l’anatomie générale (les contours des organes).
À l’inverse, dans une pondération T2, l’eau et les fluides apparaissent d’un blanc pur et brillant (c’est l’hypersignal). La graisse apparaît plus grise. Sachant qu’un processus inflammatoire attire toujours des cellules immunitaires et du plasma sanguin (créant un œdème cellulaire), la zone malade se gorge d’eau microscopique. La machine la détecte instantanément et la met en évidence sous la forme d’une tache blanche lumineuse. L’anomalie est donc simplement une zone « trop humide » par rapport au tissu cérébral ou médullaire sain environnant.
L’origine de l’inflammation : Démyélinisation et œdème
Lorsque le radiologue précise que cet hypersignal a une allure « inflammatoire », il écarte d’emblée d’autres causes comme une tumeur solide, une ancienne cicatrice ou un accident vasculaire ischémique pur.
- En neurologie, cette inflammation cible le plus souvent la substance blanche. Les câbles nerveux de notre cerveau sont entourés d’une gaine protectrice : la myéline.
- Lorsque le système immunitaire dysfonctionne et attaque sa propre myéline, il crée une lésion (une plaque). Cette attaque inflammatoire engendre un afflux d’eau.
- L’IRM visualise cet amas de liquide autour de la fibre nerveuse lésée. Ces taches blanches sont typiquement localisées autour des ventricules du cerveau (lésions périventriculaires) ou dans la moelle épinière.

Les pathologies associées à cette signature radiologique
L’apparition de foyers inflammatoires sur les séquences T2 (et sa variante très utilisée, la séquence FLAIR, qui efface le liquide normal du cerveau pour ne laisser briller que la maladie) ouvre un éventail diagnostique très large.
La maladie la plus tristement célèbre associée à cette description est la Sclérose en Plaques (SEP), une affection inflammatoire auto-immune du système nerveux central. Toutefois, ce n’est absolument pas la seule cause. Des maladies infectieuses (maladie de Lyme, neuro-syphilis, encéphalites virales), des vascularites (inflammation de la paroi des vaisseaux sanguins), ou même de simples migraines à aura très sévères peuvent provoquer l’apparition de micro-hypersignaux inflammatoires ou vasculaires totalement asymptomatiques.
Tableau : Interprétation des différents signaux IRM
| Séquence IRM | Apparence du liquide (Eau/LCR) | Utilité médicale principale |
|---|---|---|
| Séquence T1 | Noir (Hyposignal) | Observer l’anatomie, déceler des hémorragies récentes. |
| Séquence T2 | Blanc brillant (Hypersignal) | Détecter les œdèmes et l’inflammation aiguë. |
| Séquence FLAIR | Noir (Liquide crânien effacé) | Faire ressortir uniquement les lésions (taches blanches). |
L’observation du Médecin Radiologue
« L’angoisse des patients vient du fait qu’ils traduisent le mot ‘tache blanche au cerveau’ par ‘cancer’ ou ‘sclérose en plaques’. C’est une erreur de lecture. À partir de 50 ans, trouver quelques petits hypersignaux T2 dans la substance blanche profonde est aussi banal que d’avoir des rides sur le visage. C’est ce qu’on appelle la leucoaraïose, liée au micro-vieillissement des vaisseaux sanguins. Le métier de radiologue n’est pas de compter les taches, mais d’analyser leur forme, leur position précise (critères de McDonald) et surtout de savoir si le neurologue constate des symptômes physiques correspondants. »
La corrélation clinique et le suivi évolutif de la lésion
Découvrir un signal inflammatoire sur un écran noir et blanc n’est jamais la ligne d’arrivée du parcours diagnostique. L’IRM seule est muette. Le spécialiste devra impérativement déterminer l’activité temporelle de cette lésion : est-ce une ancienne cicatrice inerte ou une inflammation flamboyante « en cours » ? C’est la raison pour laquelle une injection de produit de contraste (le Gadolinium) est pratiquée durant l’examen. Si la tache blanche « prend le contraste », cela confirme que l’inflammation est fraîche et que la barrière sang-cerveau est rompue. Ce faisceau d’indices radiologiques sera ensuite inexorablement confronté à votre examen clinique (perte de force, trouble visuel) et souvent complété par une ponction lombaire afin de valider ou d’infirmer la présence d’un processus auto-immun au sein de votre système nerveux.
Foire Aux Questions (FAQ)
🔍 Une tache blanche (hypersignal) peut-elle disparaître avec le temps ?
L’évolution de l’hypersignal dépend de la réparation tissulaire. Si l’inflammation a été traitée rapidement (par exemple par des perfusions de corticoïdes lors d’une poussée de sclérose en plaques), l’œdème gorgé d’eau va se résorber. Conséquence : la tache blanche à l’IRM va diminuer de taille, s’estomper, ou parfois disparaître complètement sur les IRM de contrôle des années suivantes. En revanche, si le tissu nerveux a été détruit de manière irréversible, la tache laissera place à une « cicatrice » (trou noir en T1, point blanc en T2) qui restera visible à vie.
💉 Pourquoi utilise-t-on la séquence FLAIR plutôt que le T2 simple ?
Le cerveau baigne naturellement dans un fluide appelé le Liquide Céphalo-Rachidien (LCR), qui remplit les ventricules. Sur une séquence T2 classique, ce LCR est d’un blanc éclatant. Si une lésion inflammatoire (aussi blanche) se trouve juste à côté du ventricule, elle devient invisible (ton sur ton). La séquence FLAIR (Fluid Attenuated Inversion Recovery) est une séquence T2 modifiée par ordinateur : elle « éteint » le blanc du liquide naturel pour le rendre noir. Ainsi, la moindre petite lésion pathologique gorgée d’eau brille intensément comme une étoile dans la nuit, la rendant inratable pour le radiologue.
🧠 Tous les hypersignaux indiquent-ils une maladie neurologique grave ?
Absolument pas. L’IRM est une technologie d’une telle précision qu’elle détecte le moindre défaut d’hydratation des tissus. Des patients souffrant de migraines chroniques sévères, de diabète, d’hypertension artérielle mal équilibrée, ou ayant simplement subi de petits micro-chocs vasculaires avec l’âge, présentent des hypersignaux T2 punctiformes d’allure vasculaire (non spécifique). Ces « taches » bénignes ne provoquent aucun symptôme moteur et ne sont en aucun cas le prélude d’une maladie de Parkinson ou d’Alzheimer.









