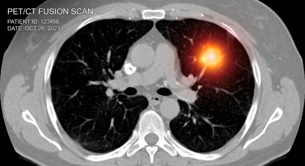
La découverte d’un foyer hypermétabolique sur un compte-rendu de PET scan (ou TEP) est souvent une source d’inquiétude majeure pour le patient. Ce terme technique, omniprésent en oncologie, désigne une zone précise du corps où les cellules consomment une quantité de sucre (glucose) anormalement élevée. Si cette caractéristique est l’une des signatures du cancer, elle accompagne également de nombreux processus bénins. L’enjeu pour le corps médical est de déterminer si ce « point chaud » est le signe d’une tumeur active ou d’une simple réaction de l’organisme.
Le PET scan est une technologie d’imagerie fonctionnelle qui révolutionne le diagnostic. Contrairement au scanner classique ou à l’IRM qui photographient l’anatomie, le PET scan filme le métabolisme. En injectant un traceur radioactif, les médecins peuvent traquer les anomalies invisibles à l’œil nu. Découvrez comment interpréter un foyer de fixation, les causes non cancéreuses d’hypermétabolisme et l’importance cruciale du score SUV dans l’évaluation de votre état de santé.
Ce qu’il faut retenir
- 🔥 Définition : Un foyer hypermétabolique est une zone de surconsommation d’énergie détectée par le passage d’un traceur radioactif (FDG).
- 📊 Le score SUV : Le Standardized Uptake Value mesure l’intensité de la fixation ; plus il est haut, plus l’activité cellulaire est suspecte.
- ⚠️ Les faux positifs : Une infection, une inflammation chronique ou une cicatrisation récente peuvent créer des foyers brillants parfaitement bénins.
- 🎯 Utilité majeure : Cet examen permet de localiser une tumeur, de chercher des métastases ou de vérifier l’efficacité d’un traitement en cours.
Comment le PET scan détecte-t-il l’hypermétabolisme ?
Le principe repose sur la gourmandise des cellules. Les cellules cancéreuses se divisent beaucoup plus vite que les cellules normales et ont donc besoin d’un apport massif en énergie. Pour les débusquer, on utilise le 18F-FDG, une molécule de glucose sur laquelle est greffé un atome de fluor radioactif.
Une fois injecté, ce « sucre marqué » circule dans le sang. Les zones de forte activité métabolique vont capter ce traceur de manière préférentielle. Lors de l’acquisition des images, la machine détecte les radiations émises par le FDG accumulé, créant des taches lumineuses sur l’écran. Un foyer hypermétabolique est donc, littéralement, une zone qui « s’allume » parce qu’elle consomme du sucre de façon frénétique.
La notion de fixation physiologique : quand le corps brille normalement
Il est fondamental de noter que certaines parties de notre anatomie sont naturellement hypermétaboliques. Le cerveau, grand consommateur de glucose, s’allume toujours intensément. Le cœur, les reins et la vessie (qui évacue le traceur) présentent également une fixation physiologique normale. Le médecin nucléaire doit donc faire la part des choses entre l’activité normale des organes et un foyer pathologique anormal.
SUV Max et SUV Moyen : décrypter les chiffres du rapport
Sur votre compte-rendu, vous trouverez systématiquement la valeur du SUV (Standardized Uptake Value). C’est une unité de mesure qui permet de quantifier « combien » de traceur la zone a absorbé par rapport au reste du corps.
- SUV faible (inférieur à 2.5) : Il évoque souvent un processus bénin, une inflammation modérée ou une tumeur à croissance très lente.
- SUV élevé (supérieur à 5 ou 10) : Il indique une activité métabolique intense, souvent corrélée à une pathologie plus agressive (cancer ou infection aiguë).
Pourquoi le SUV n’est-il pas une preuve absolue ?
Un SUV de 15 ne signifie pas mathématiquement « cancer ». Une infection tuberculeuse ou un abcès à pyogènes peuvent présenter des SUV extrêmement élevés, parfois supérieurs à ceux de tumeurs malignes. Le score SUV est une boussole, mais c’est l’analyse du contexte clinique et parfois la biopsie qui apportent la certitude diagnostique.

Les causes bénignes d’un foyer hypermétabolique
Le PET scan est un examen extrêmement sensible mais « peu spécifique ». Cela signifie qu’il voit tout, mais ne sait pas toujours identifier la nature exacte de ce qu’il voit. De nombreux facteurs peuvent créer un hypermétabolisme réactionnel.
Infections et inflammations : les grands imitateurs
Une pneumonie récente, une sinusite, ou même une simple arthrose au genou peuvent créer un foyer intense. Les globules blancs, mobilisés pour réparer les tissus ou combattre un virus, consomment eux aussi énormément de glucose. C’est également le cas de la sarcoïdose ou de la maladie de Crohn, qui peuvent simuler des atteintes ganglionnaires suspectes au PET scan.
Traumatismes et cicatrisation post-opératoire
Si vous avez subi une chirurgie, une biopsie ou une séance de radiothérapie quelques semaines avant l’examen, la zone concernée s’allumera intensément. Le corps déploie une énergie colossale pour reconstruire les tissus sectionnés, créant un foyer cicatriciel. C’est pour cette raison qu’on attend généralement au moins 6 semaines après un traitement avant de réaliser un contrôle métabolique.
L’impact du stress et du froid sur l’examen
Le stress intense ou le fait d’avoir froid juste avant l’injection peut activer la « graisse brune » (au niveau du cou et des épaules) ou les muscles contractés. Ces zones peuvent alors fixer le traceur de manière diffuse, compliquant parfois la lecture du radiologue. On demande donc aux patients de rester bien au chaud et parfaitement calmes durant la phase de repos après l’injection.
Tableau : Interprétation de l’activité selon la localisation
| Localisation du foyer | Cause suspectée si focal | Cause suspectée si diffuse |
|---|---|---|
| Poumon | Nodule tumoral ou infection. | Inflammation globale (tabac, pollution). |
| Ganglion | Métastase ou Lymphome. | Réaction immunitaire (vaccin, virus). |
| Os | Lésion secondaire ou fracture. | Stimulation de la moelle (chimio récente). |
| Thyroïde | Nodule à explorer. | Thyroïdite inflammatoire bénigne. |
L’avis du Médecin Nucléaire
« Un foyer hypermétabolique n’est jamais une condamnation, c’est une piste de travail. Mon rôle est de confronter l’intensité de la lumière à la morphologie de l’organe. Par exemple, un point brillant sur un polype intestinal est plus inquiétant qu’une lueur diffuse dans l’estomac. Le PET scan nous permet de gagner des mois sur la maladie, mais il exige de nous une grande prudence pour éviter les sur-diagnostics. Si un foyer est douteux, nous recommandons souvent une surveillance à 3 mois plutôt qu’une intervention immédiate. »
Foyer hypermétabolique et suivi de traitement
L’une des forces majeures de l’imagerie métabolique est de pouvoir juger de l’efficacité d’une chimiothérapie bien avant que la tumeur ne diminue de volume. Si les cellules cancéreuses « s’éteignent » au PET scan (baisse radicale de l’hypermétabolisme), c’est que le traitement fonctionne, même si la masse reste visible au scanner classique.
On parle alors de réponse métabolique complète. À l’inverse, l’apparition d’un nouveau foyer hypermétabolique sous traitement est un signal d’alarme qui permet à l’oncologue de changer de protocole rapidement pour ne pas perdre de temps précieux. Le foyer devient alors un marqueur biologique de la vitalité tumorale.
Les examens complémentaires après la détection d’un foyer
Si un foyer reste inexpliqué, le médecin peut demander :
- Une corrélation scanographique : Regarder précisément la structure anatomique à l’endroit du point brillant.
- Une biopsie : Prélever un échantillon de cellules pour une analyse microscopique définitive.
- Un suivi temporel : Refaire l’examen après un traitement antibiotique ou anti-inflammatoire pour voir si le foyer persiste.
Foire Aux Questions (FAQ)
🧪 Pourquoi faut-il être à jeun et ne pas faire de sport avant ?
Le sport consomme le glucose du corps. Si vous courez avant l’examen, vos muscles vont « pomper » tout le traceur radioactif, et les éventuelles cellules malades ne recevront plus assez de produit pour être visibles. Le jeûne de 6 heures sert à stabiliser votre glycémie pour que le 18F-FDG soit attiré uniquement par les zones de consommation anormale.
🤔 Un foyer « modérément hypermétabolique » est-il dangereux ?
L’adjectif « modéré » est souvent utilisé pour des SUV compris entre 2 et 4. Cela indique une activité réelle mais pas forcément explosive. C’est l’aspect typique des inflammations chroniques ou de certaines tumeurs de bas grade. Ce n’est pas une urgence vitale, mais cela nécessite un suivi rigoureux par imagerie ou par marqueurs sanguins pour s’assurer que l’activité ne s’intensifie pas.
💉 Est-ce que l’injection pour le PET scan rend radioactif ?
Vous recevez une dose de radioactivité très faible et de courte durée (demi-vie de 110 minutes). Le produit s’élimine naturellement par les urines. Il est simplement conseillé de bien s’hydrater après l’examen et d’éviter les contacts prolongés (câlins, proximité immédiate) avec de jeunes enfants ou des femmes enceintes pendant les 12 heures suivant l’injection, par simple principe de précaution.









